O'Camarron del Sueño Latino 

His gallery...

His pedigree...

 

FATHER :

 

Lambrusco del Sueño Latino

 

MOTHER :

 

Little Sugar del Sueño Latino

Lambrusco del Sueño Latino

HDA . ED0 . BAER +/+

F'Pepino del Sueño Latino

HDA . BAER +/+

Dahud del Sueño Latino

Chamahuac Mapu Kewa 

HDA

Gitana del Tolkeyen

HDB

Lucha del Tolkeyen

HDA

Juncal de los Medanos

HDA

Tijuana Ackon Cahuak

HDA

Ierba del Sueño Latino

HDA . EDO . BAER +/+

Chalacos Verdes Pampas

HDB . BAER +/+

Hankko Ackon Cahuak
Cumbia Mapu Kewa

G'Milonga del Sueño Latino

HDA . BAER +/+

Ungaro de los Hijos de la Luna

HDA

Diosa del Sueño Latino

HDA

Little Sugar del Sueño Latino

HDBC . ED0 . BAER +/+

Iko de la Casa del Diablo

HDA . BAER +/+

Hierro del Sueño Latino

HDAB

Mulla Verdes Pampas

HDB

Lucha del Tolkeyen

HDA

Garam Masala de Huracan Blanco

Olk di Casa dei Marchesi

HDA

Caliente de los Hijos de la Luna

G'Milonga del Sueño Latino

HDA . BAER +/+

Ungaro de los Hijos de la Luna

HDA

Pampero Ackon Cahuak

HDA

Paguera de los Hijos de la Luna

Diosa del Sueño Latino

HDA

Ackon Suelo da Herminig Gwenn

HDA

Lucha del Tolkeyen 

HDA

His documents...

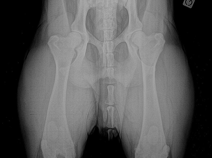
HIPS

XRails

 

HIPS

Report

 

 

ELBOWS

Report

 

BAER TEST (deafness)

Report

 

PRKG2 (dwarfism)

Report

 

Choisissez votre langue :  Choose your language :

Rejoignez-nous / Join us :

Nos coordonnées :

Stéphane Sauvêtre & Romy Leclerc-Sauvêtre

+336.60.91.46.56 | +336.58.41.28.78

Coordonnées Gps

44 - Jans (FRANCE)

[Visites sur rendez-vous uniquement]

contact@delsuenolatino.fr

Elevage adhérent au S.N.P.C.C.

(Syndicat national des Professions du Chien et du Chat)

Dernière mise à jour  / last update :

Le 17/03/2026

Version imprimable | Plan du site

© 2004 - 2026 Del Sueño Latino - Tous droits réservés
SIRET : 520 088 204 00026 . Code APE : 01492 . N° Élevage SCC/FCI : 444839 .
Certificats de capacité N°44.341 et 44.342 . Déclaration ICPE N°20190703 .
RC PRO Generali . Médiateur : CM2C Paris.